カテゴリー:
審美歯科
大臼歯のセラミックインレー
Before
After
| 通院時の年齢 | 20代 |
|---|---|
| 性別 | 女性 |
| 治療期間・回数 | 2回 2週間 |
| 通院目的 | 審美性が良く虫歯になりにくい素材で作りたい |
| 費用 | 4万+税 |
| リスク・副作用 | 奥歯は強い噛みしめが起こりやすいため、長期間の使用で割れる恐れがあります 自費診療となるため保険診療外の費用がかかります |
審美歯科
セラミックインレー
Before
After
| 通院時の年齢 | 40代 |
|---|---|
| 性別 | 女性 |
| 治療期間・回数 | 2回 1週間 |
| 通院目的 | 見えるところなので、白い詰め物にしたい |
| 費用 | 4万+税 |
| リスク・副作用 | 奥歯は噛む力が強いため、折れたり欠ける恐れがあります 強い歯ぎしりがある方は、就寝時マウスピースを装着することでセラミックを保護することをおすすめします 自費診療となるため保険診療外の費用がかかります |
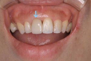
審美歯科
前歯のオールセラミッククラウン
Before
After
| 通院時の年齢 | 30代前半 |
|---|---|
| 性別 | 女性 |
| 治療期間・回数 | 3回 1か月 |
| 通院目的 | 見た目がいい治療がしたい |
| 費用 | 8万+税 |
| リスク・副作用 | 歯肉退縮などにより歯ぐきの位置が変化すると冠の境目が露出することがあります 自費診療となるため保険診療外の費用がかかります |
審美歯科
大臼歯のセラミックインレー
Before
After
| 通院時の年齢 | 50代 |
|---|---|
| 性別 | 女性 |
| 治療期間・回数 | 2回 1週間 |
| 通院目的 | 審美性が良く虫歯になりにくい素材で作りたい、壊れにくさを重視 |
| 費用 | 4万+税 |
| リスク・副作用 | 残存歯質の量が少なくなると歯の部分が割れることがあります その際は全体をかぶせる形を提案させていただきます 自費診療となるため保険診療外の費用がかかります |
審美歯科
セラミックインレーの症例
Before
After
| 通院時の年齢 | 30代 |
|---|---|
| 性別 | 女性 |
| 治療期間・回数 | 2回 2週間 |
| 通院目的 | 歯が欠けた |
| 費用 | 4万+税 |
| リスク・副作用 | 修復物の範囲が大きくなるとその分破損リスクが高まります その場合は冠形態をおすすめすることもあります 自費診療となるため保険診療外の費用がかかります |
審美歯科
小臼歯のセラミックインレー
Before
After
| 通院時の年齢 | 20代後半 |
|---|---|
| 性別 | 男性 |
| 治療期間・回数 | 2回 1週間 |
| 通院目的 | 審美性が良く虫歯になりにくい素材で作りたい |
| 費用 | 8万+税(2本分) |
| リスク・副作用 | セラミック治療は歯と緊密に接着できるため二次虫歯になりにくいといわれています 食生活の乱れとブラッシング不良があると虫歯リスクは高まります 自費診療となるため保険診療外の費用がかかります |
審美歯科
ジルコニアクラウンのセット
Before
After
| 通院時の年齢 | 50代前半 |
|---|---|
| 性別 | 女性 |
| 治療期間・回数 | 8回 3か月 |
| 通院目的 | 右下6番目の虫歯が大きく神経まで達しており、根っこの治療をして被せ物を作ることになりました。下の歯で銀歯だと目立つので、審美性に優れているジルコニアクラウンにしたとのことです。 |
| 費用 | 6万+税 |
| リスク・副作用 | セラミックと比較して強度は勝るものの透明感が少ないため、白っぽく見えます 神経のない歯は歯根破折のリスクが高まります 自費診療となるため保険診療外の費用がかかります |
審美歯科
ジルコニアクラウン
Before
After
| 通院時の年齢 | 30代後半 |
|---|---|
| 性別 | 男性 |
| 治療期間・回数 | 3回 1か月 |
| 通院目的 | 奥歯を目立ちにくい歯にしたい |
| 費用 | 12万+税(2本分) |
| リスク・副作用 | セラミックと比較して強度は勝るものの透明感が少ないため、白っぽく見えます 長期間の歯ぎしりがある方は接着剤が劣化し脱離するリスクが高まります 自費診療となるため保険診療外の費用がかかります |
審美歯科
臼歯のジルコニアブリッジ
Before
After
| 通院時の年齢 | 50代前半 |
|---|---|
| 性別 | 男性 |
| 治療期間・回数 | 5回 1か月半 |
| 通院目的 | 左上5番の歯根がダメになり抜歯になりました。以前他の部位でジルコニアクラウンをいれていたこともあり、今回もジルコニアでの治療となりました。 |
| 費用 | 8万+税 3本分 (ジルコニアブリッジ色づけ有り) |
| リスク・副作用 | ジルコニアのブリッジタイプの場合、欠損部分の圧が高くなると試し割の力がかかり、細い部分から亀裂が入ることがあります 自費診療となるため保険診療外の費用がかかります |
審美歯科
大臼歯のセラミックインレー
Before
After
| 通院時の年齢 | 50代 |
|---|---|
| 性別 | 男性 |
| 治療期間・回数 | 3回 3週間 |
| 通院目的 | 詰め物が取れたところを、取れにくく虫歯になりにくいもので作りたい |
| 費用 | 4万+税 |
| リスク・副作用 | 長期間の歯ぎしり・噛みしめにより、折れたり欠ける恐れがあります 虫歯の範囲が広い場合は、被せ物をおすすめする場合があります 自費診療となるため保険診療外の費用がかかります |
